I North Carolina registrerade myndigheterna 310 fall av legionärssjukdom under 2025, en ökning med 54% jämfört med föregående år. Nationellt i USA har infektionerna ökat med nästan 1 000% över två decennier, från 1 100 fall år 2000 till över 8 000 idag. Orsakerna till ökningen i North Carolina är oklara, och det är okänt om några patienter där var inlagda på sjukhus eller dog, hur de smittades eller vilken den potentiella källan till bakterierna var.
Nya utbrott har uppstått på andra håll, där myndigheter i Ector County, Texas, upptäckt 12 fall av legionärssjukdom och två dödsfall mellan slutet av december och början av januari. I London undersöker UK Health Security Agency (UKHSA) ett kluster av fall kopplade till nordvästra och sydvästra London. En gemensam källa för fallen i London har ännu inte bekräftats, enligt UKHSA.
Cirka 300 fall av legionärssjukdom rapporteras varje år i England och Wales. I Baltimore, Maryland, har politiker hävdat att Legionella-bakterier orsakade ett utbrott denna månad i en federal byggnad som hyser ICE-inhysningar. Det exakta antalet fall och dödsfall i detta påstådda utbrott har inte avslöjats.
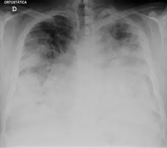
Legionärssjukdom är en allvarlig form av lunginflammation orsakad av Legionella-bakterier. Den sprids genom förorenad vattenånga eller fina vattendroppar som innehåller Legionella-bakterier. Legionella-bakterier trivs i varma, fuktiga eller stillastående vattenmiljöer, såsom luftkonditioneringsenheter, bubbelbad, rörsystem och stora vattensystem.
Personer som löper störst risk för legionärssjukdom inkluderar de över 50 år, rökare, före detta rökare och personer med lungsjukdomar eller nedsatt immunförsvar. Legionärssjukdom behandlas vanligtvis på sjukhus med antibiotika. Legionärssjukdom är ovanlig men kan vara allvarlig.
Hälsoexperter varnar för att varmare temperaturer gör att Legionella-bakterier kan trivas, vilket ökar smittorisken. Sjukdomens spridning via vattensystem belyser behovet av övervakning och förebyggande åtgärder.
